Skip to content

406-360-2990 aprilrae517@gmail.com

The importance of limiting jumps and excessive exercise in young, developing pups.

The importance of limiting jumps and excessive exercise in young, developing pups.

This is something everyone should see.
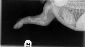
When you get your 8-10 week old puppies, please keep these images in mind. Their bones do not even touch yet. They plod around so cutely with big floppy paws and wobbly movement because their joints are entirely made up of muscle, tendons, and ligaments with skin covering. Nothing is fitting tightly together or has a true socket yet.
When you run them excessively or don't restrict their exercise to stop them from overdoing it during this period, you don't give them a chance to grow properly. Every big jump or excited bouncing run causes impacts between the bones. In reasonable amounts this is not problematic and is the normal wear and tear that every animal will engage in.  But, when you're letting puppy jump up and down off the lounge or bed, take them for long walks/hikes, you are damaging that forming joint. When you let the puppy scramble on tile with no traction you are damaging the joint.
You only get the chance to grow them once. A well built body is something that comes from excellent breeding and a great upbringing-BOTH, not just one.
Once grown you will have the rest of their life to spend playing and engaging in higher impact exercise. So keep it calm while they're still little baby puppies and give the gift that can only be given once.
* A bit of back-story: This is a baby puppy who had a knock to his elbow and wasn't using it properly, so he was taken to the vet. There is nothing wrong in these x-rays, thankfully it is a soft tissue injury and he is expected to be fine.
Credit: Pound Patrol Rescue
Older Post
Newer Post
Close (esc)

Puppies!

Pups have been born! Males and females available now!

More info

Age verification

By clicking enter you are verifying that you are old enough to consume alcohol.

Search

Added to cart